Orvosi megoldások
Nézzük, hogy gerincprobléma esetén milyen orvosi vizsgálatokra számíthatunk, de előbb azt, hogy mi is történik általában? Ismerőseim és a saját tapasztalataim a következők:
Egy erős derékfájdalom esetén az orvosi javaslat általában a különböző kenőcsök használata, a fájdalomcsillapító és az izomlazító gyógyszerek szedése, súlyosabb esetben egy "lidokain blokád", valamint sok pihenés. Az eredmény nem marad el, csak ki kell várni, ha tehetjük.
Ha gondos és körültekintő orvosunk van, akkor elvégez néhány tesztet. Megnézi, hogy a panaszolt fájdalmas területhez tartozó végtagjaink hogyan mozgathatók és mikor, milyen jellegű fájdalmat érzünk. Az alábbi videón angol nyelvű ugyan a kommentár, de jók az ábrák és így jól érthető a bemutató is. Lássuk, hogy mik ezek?
Íme:
Ez a csodálatra méltó szervezet képes az öngyógyításra, ha időt kap rá. Vannak azonban olyan esetek, amikor komolyabb orvosi segítségre van szüksége. Persze az is gyakran fordul elő, hogy nem akarjuk, vagy nem áll módunkban, hogy kivárjuk a lassú gyógyulás végét.
Ekkor következhetnek a különböző vizsgálatok. A sorban legelől szokott állni a RTG, vagy a CT, vagy az MRI által végzett képalkotás és az ott látottak alapján aztán lehet tovább vizsgálódni.
Az alábbi képeket a neten találtam, onnan másoltam ide, nem általam ismert konkrét esetek!
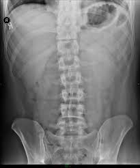
RTG képet már sokunk látott, de azért ide teszek kettőt. A bal oldalin egy lumbális><háti alsó szakasz látható (jól látszik a görbület) és egy medence felvétel (feltehetően a jobb csípőizület kopásával).
Íme:
<> <> <> <> <>
A CT felvétel már kicsit részletesebb. A bal oldali képen a nyil jelzi a probléma helyét (a L4-as erősen előre csúszva, (csigolyacsuszamlás) feltehetően a kis izületek és a porckorong sérülésével), a jobb oldalin a teljes gerincoszlop látszik.
Íme:
Itt pedig megnézheti, hogyan zajlik a CT vizsgálat. Hogyan kell felkészülnie, jelentkeznie és mi történik a vizsgálat alatt.
Íme:
<> <> <> <> <>
Az MRI még részletesebb, tisztább képet ad. A felső képen egy komoly gerinccsatorna szűkület látható, feltehetően a kitüremkedő porckorong, vagy egyéb, nem oda való képlet (pl.:daganat) miatt.
A gyakorlatlan szemnek egy kis segítség: az alsó képen a medence és a csípőizület metszete látszik.
Íme:

Az MR vizsgálat menete a következő videón látható.
Íme:
A felvételek kiértékelésével meghatározhatók a teendők és ha szükséges, kérhető egyéb kiegészítő vizsgálat.
<> <> <> <> <>
A feltárt elmozdulás okozta gyötrő idegfájdalom megszüntetésére alkalmas berendezést alkotott meg egy amerikai orvostechnikai müszereket gyártó cég. Ezen a videón jól látható a működése és az animációval el is magyarázza, hogy mi történik.
Íme:
Ez a videó már egy másik, ugyanezen az elven dolgozó berendezés használatát mutatja és magyarázza.
Íme:
A Budapesten elérhető berendezés a MOM parkban működik. Ide teszem a címet.
<> <> <> <> <>
A vizsgálódás után jöhetnek a különböző kezelések. Súlyosságtól függően fogja az orvos meghatározni a terápiát.
Mik is ezek:
- Gyógyszerek, kenőcsök, injekciókúrák, stb.
- Gyógytorna, masszázs, fizioterápia, súlyfürdő, stb.
- Az adott terület megtámasztására, rögzítésére alkalmas eszközök. Övek, fűzők, korzett, stb.
- Műtéti megoldások, rehabilitáció
- Nem kizárt a "Tanuljon meg vele együtt élni!"
Azok pedig, akik nem másokra várnak, hanem maguk szeretnének tenni az egészségük helyreállításáért, megkeresik a megfelelő alternatív gyógymódokat és azzal próbálnak meggyógyulni.
Mások pedig fontosnak érzik a megelőzést, ezért nem várják meg a betegségük kialakulását (kivéve a baleseteket!), hanem megelőzik azokat. Jó iránymutatást ad ehhez a másik honlapomon olvasható Germán gyógytudomány. Íme a címsor:
http://nyerkilajos.hupont.hu/34/a-gerincferdules-es-a-gnm
Jó tanulást kívánok!
Folyamatos fejlesztés alatt.